Your Smile Starts Here: What to Know About Dental Cleaning in San Francisco
Dental cleaning San Francisco is one of the most searched dental services in the city - and for good reason. Here's a quick overview of what you need to know:
| Topic | Quick Answer |
|---|---|
| How often | Every 6 months (every 3-4 months if you have gum disease) |
| Typical cost | Varies; new patient specials often available |
| Does it hurt? | No - most patients feel little to no discomfort |
| How long | 30-40 minutes for a routine cleaning |
| What's included | Plaque removal, tartar removal, polishing, and exam |
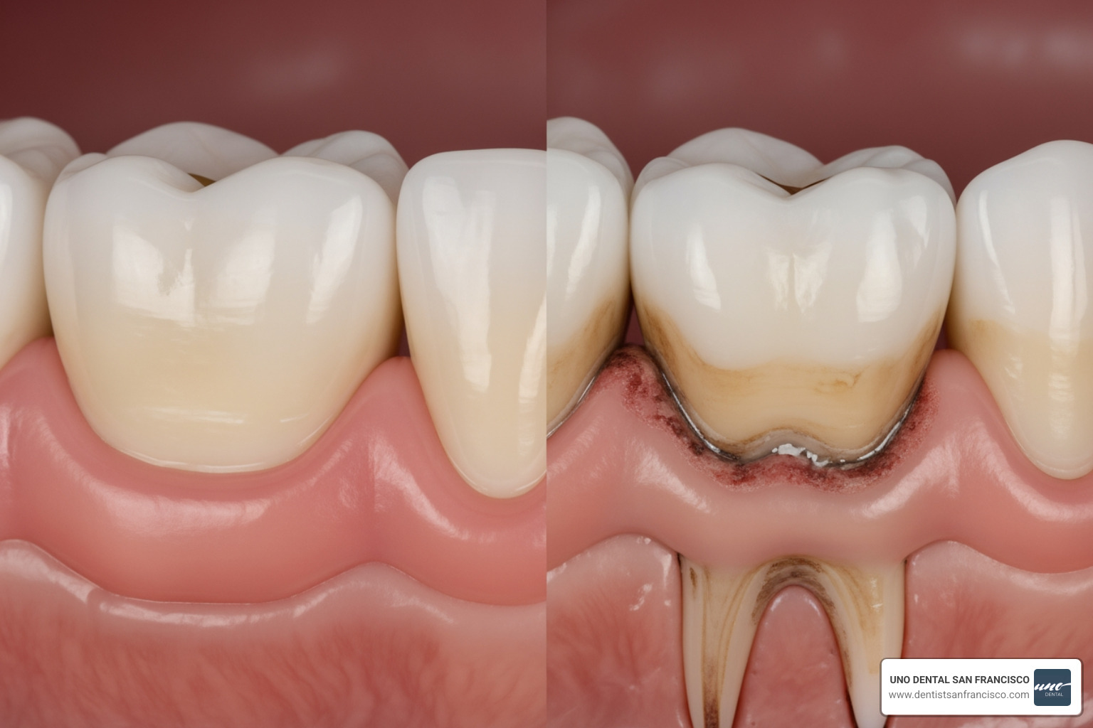
Your mouth is busy every single day. Within just three hours of brushing, a sticky film of bacteria called biofilm starts building up on your teeth. Over time, that film hardens into tartar - and no amount of brushing or flossing can remove it on its own.
That's where professional dental cleanings come in.
Regular cleanings don't just leave your teeth feeling fresh. They protect your gums, catch problems early, and can even reduce your risk of serious health conditions like heart disease and diabetes. For busy San Franciscans juggling packed schedules, skipping cleanings might seem harmless - but the long-term costs of untreated buildup are far greater than a routine visit.
Whether you're overdue for a cleaning or just moved to the city and are looking for a dental home, this guide covers everything you need to make a confident, informed decision.
I'm Mohammad Aghiad Kandar, DDS, and with over 15 years of clinical experience - including my Doctor of Dental Surgery from UCSF - I've helped hundreds of San Francisco patients maintain healthier smiles through personalized dental cleaning San Francisco care at UNO DENTAL SAN FRANCISCO. Let's walk through everything you should know before your next appointment.
As a dedicated dentist on Jackson Street, we are proud to offer comprehensive care, including professional dental cleaning San Francisco and specialized services as a mercury-free dentist. If you are looking for a new patient dentist in the city, our team is ready to welcome you to our practice.
Why a Professional Dental Cleaning in San Francisco is Essential for Your Health
Many patients ask us why they need a professional Dental cleaning San Francisco if they brush and floss religiously at home. The answer lies in the biology of your mouth. Even with the best technique, bacteria are constantly at work. This "biofilm" - a living assortment of bacteria - produces toxins that lead to decay and gum disease.
When plaque isn't removed, it mineralizes into tartar (calculus). Tartar is a yellowish, cement-like substance that bonds to your enamel. Once it forms, it acts like a coral reef for more bacteria, and it cannot be brushed away with a standard toothbrush. If left untreated, this buildup causes gingivitis, the earliest stage of gum disease, characterized by red, inflamed, or bleeding gums.
But the impact goes far beyond your mouth. Modern research shows that oral health is a gateway to systemic health. Chronic inflammation in the mouth is linked to:
- Heart Disease: Bacteria from the mouth can enter the bloodstream and contribute to arterial plaque.
- Diabetes: Gum disease can make it harder to control blood sugar levels, and vice versa.
- Respiratory Issues: Bacteria from the mouth can be inhaled into the lungs, potentially causing infections.
At UNO DENTAL, we view professional teeth cleaning as a critical preventive measure. During your visit, we don't just "clean"; we perform a comprehensive health audit. This includes early decay detection - catching cavities while they are small and easy to fix - and a life-saving oral cancer screening of your face, neck, lips, and tongue.
Understanding the Different Types of Dental Cleanings
Not all smiles require the same level of care. Depending on your oral history and current gum health, we may recommend one of several types of cleanings.
Prophylaxis (Routine Cleaning)
This is the standard cleaning for patients with healthy gum tissue. We focus on removing plaque and tartar from above the gumline and polishing the teeth to remove surface stains. It's fast, effective, and usually takes about 30 to 40 minutes.
Gingivitis Therapy
If we detect early signs of gum inflammation, we may perform a more targeted cleaning to reverse the damage. This involves removing buildup right at the gumline to allow the tissue to heal and reattach firmly to the teeth.
Periodontal Maintenance
For patients who have a history of bone loss or gum disease, routine cleanings aren't enough. We typically recommend periodontal maintenance every three to four months to keep bacteria levels low and prevent the disease from returning.
Child Dental Cleanings
We love our younger patients! These visits focus on education and prevention. We often include fluoride applications to strengthen developing enamel and dental sealants - thin protective coatings - to prevent cavities in the deep grooves of the molars.
| Feature | Routine Prophylaxis | Deep Cleaning (SRP) |
|---|---|---|
| Target Area | Above the gumline | Below the gumline (root surfaces) |
| Purpose | Prevention/Maintenance | Treating active gum disease |
| Tools Used | Scalers and polishers | Specialized root planers/ultrasonics |
| Anesthesia | Not usually required | Often used for comfort |
| Frequency | Every 6 months | As needed (initial treatment) |
To learn more about what happens during these visits, you can explore the step-by-step process of professional dental cleanings.
Deep Dental Cleaning San Francisco: When Scaling and Root Planing are Necessary
If it has been a long time since your last Dental cleaning San Francisco, or if you have developed "pockets" between your teeth and gums, a standard cleaning may not be sufficient. This is when we recommend a deep cleaning, technically known as Scaling and Root Planing (SRP).
During this procedure, we go deep into the gum pockets (usually 4mm or deeper) to remove harmful bacteria and tartar. We then "plane" or smooth the root surfaces. This makes it harder for bacteria to stick to the roots in the future and encourages your gums to heal and shrink back to a healthy size.
Because we are working below the gumline, we often use local anesthesia to ensure you don't feel a thing. This is a vital step in restoring periodontal health and preventing tooth loss. After the procedure, following specific deep cleaning aftercare instructions is essential for the best results.
Frequency and Special Considerations for Your Dental Cleaning San Francisco
The American Dental Association (ADA) generally recommends professional cleanings every six months. However, at UNO DENTAL, we believe in individualized care. Some patients benefit from a "holistic" interval of every three months - especially those prone to heavy buildup or those with systemic health concerns.
Special Considerations:
- Pregnancy: Hormonal changes during pregnancy can increase the risk of "pregnancy gingivitis." Regular cleanings are safe and essential for both maternal and fetal health.
- Orthodontics: If you have brackets, plaque loves to hide around brackets and wires. We use special instruments to ensure your teeth stay healthy throughout your orthodontic journey. Check out our guide on post-braces dental care for more details.
- Fluoride: We often recommend professional fluoride treatments to remineralize enamel and protect against acid attacks between visits.
What to Expect During Your Appointment at UNO DENTAL
We pride ourselves on providing a high-tech, patient-centered experience. When you visit us for a Dental cleaning San Francisco, you aren't just getting a "scrape and polish." You are getting a comprehensive wellness check.
- Physical Examination: We start by using a small mirror to check your teeth and gums for signs of gingivitis or other concerns.
- High-Tech Diagnostics: We may use digital X-rays to detect issues hidden between teeth or under the gumline, such as abscesses or bone loss.
- Ultrasonic Scaling: We often use Piezo ultrasonic scalers. These tools use high-frequency vibrations to blast away tartar gently and efficiently, using less water and generating less heat than traditional tools.
- Manual Instrumentation: Our skilled hygienists use hand instruments to fine-tune the cleaning, ensuring every nook and cranny is free of debris.
- Teeth Polishing: We use a flavorful, gritty paste to remove surface stains, leaving your teeth feeling smooth and revitalized.
- Virtual Smile Consultations: Interested in cosmetic improvements? We offer free virtual smile consultations to discuss how we can help you achieve your dream smile.
Managing Comfort and Anxiety During Your Dental Cleaning San Francisco
We know that for some, the sounds and sensations of a dental office can be stressful. We've designed our practice to be an anxiety-free environment. If you have sensitive teeth, please let us know! We can use topical numbing gels or adjust our techniques to ensure you stay comfortable.
For those with higher levels of anxiety, we offer specialized options. You can read our sedation teeth cleaning guide or learn more about sedation for dental cleaning to see if these options are right for you. Our goal is to make your visit as relaxing as a trip to a dental spa.
Maximizing Your Results with Home Oral Hygiene
Professional cleanings are half the battle; the other half happens at your bathroom sink. To keep that "just-cleaned" feeling and protect your investment in your health, we recommend the following:
- Brushing: Brush for at least two minutes, twice a day. Use a soft-bristled brush and fluoride toothpaste. We often recommend high-quality electric toothbrushes for superior plaque removal.
- Flossing: Floss daily! Brushing can't reach the tight spaces between your teeth where gum disease often starts.
- Rinsing: Use an antimicrobial or fluoride rinse to kill bacteria and strengthen enamel.
- Diet: Reduce sugary snacks and acidic drinks, which can erode enamel and fuel bacterial growth.
- Replacement: Replace your toothbrush every three months, or sooner if the bristles become frayed.
For a deeper dive into the terms your dentist might use, you can consult this glossary of dental clinical terms.
Frequently Asked Questions about Dental Cleanings
Are dental cleanings painful?
Generally, no. Most patients feel some pressure or a "scraping" sensation, but it shouldn't be painful. If you have sensitive gums or haven't had a cleaning in a long time, there might be some mild discomfort, but we can use numbing agents to make the process easy.
How much do dental cleanings cost in San Francisco?
Costs can vary depending on the type of cleaning needed and your insurance coverage. Many San Francisco residents find that their insurance covers two routine cleanings per year at 100%. We also offer affordable pricing and specials for new patients to ensure care is accessible.
What happens if it has been a long time since my last cleaning?
Don't worry - we are a judgment-free zone! If it's been years, you may have significant tartar buildup. We might recommend a deep cleaning (SRP) to get your oral health back on track. The most important thing is starting now to prevent tooth loss or more expensive procedures like root canals later.
Conclusion
Maintaining a regular schedule for your Dental cleaning San Francisco is the most effective way to support a lifetime of healthy smiles. Beyond the cosmetic benefit of a brighter, polished look, professional cleanings are a cornerstone of overall wellness. By removing harmful plaque and tartar, catching issues early, and monitoring the connection between oral health and whole-body health, we help you stay healthier long-term.
At UNO DENTAL, we are committed to providing modern, comfortable, and holistic care in San Francisco. Whether you need a routine check-up or a deeper focus on gum health, our team is here to support you.
Ready to get that gleam back? Schedule your visit with our team in San Francisco today and experience our personalized approach to dental wellness.



