Understanding Full Mouth Reconstruction: More Than Just a Smile Makeover
Full Mouth Reconstruction is a comprehensive dental treatment that rebuilds or restores all or most of your teeth in both upper and lower jaws. Unlike a cosmetic smile makeover, which is an elective procedure to improve appearance, a full mouth reconstruction is a medical necessity. It's designed to repair and rebuild teeth that are damaged, decayed, or missing to restore fundamental oral health and function.
Quick Answer: What is Full Mouth Reconstruction?
- Purpose: Restores oral health, function, and appearance
- Scope: Treats all or most teeth in both jaws simultaneously
- Duration: Several months to over a year depending on complexity
- Procedures: May include implants, crowns, bridges, veneers, orthodontics
- Goal: Rebuild damaged teeth and correct bite alignment
- Necessity: Required for severe dental problems, not just cosmetic improvement
Full mouth reconstruction addresses serious dental issues like extensive decay, missing teeth, severe wear from grinding, and bite problems. The treatment can take 12 months or more and may cost between $30,000 to $45,000 or more, but many procedures may be covered by dental insurance when medically necessary.
As Dr. Mohammad Aghiad Kandar at UNO DENTAL SAN FRANCISCO, I've helped countless patients transform their oral health with comprehensive Full Mouth Reconstruction. My experience in restorative and prosthodontic care allows me to create customized solutions for both functional needs and aesthetic goals.
Full Mouth Reconstruction terms to learn:
At UNO DENTAL SAN FRANCISCO, we understand that compromised oral health impacts your daily life. It affects how you eat, speak, and your overall well-being. Our holistic approach ensures your Full Mouth Reconstruction restores not only your smile's beauty but also its complete function, often addressing underlying issues like jaw health and bite alignment for long-term stability.
Our mission is to help you achieve a healthy, functional smile. For a deeper understanding of dental terms, you might find the Glossary of Dental Terms from the American Dental Association helpful. If you're curious about aesthetic improvements, learn More info about Cosmetic Dentistry in San Francisco.
Are You a Candidate? Signs You May Need a Full Mouth Reconstruction
If you're dealing with serious dental challenges, Full Mouth Reconstruction isn't for everyone, but for those who need it, it can be life-changing.
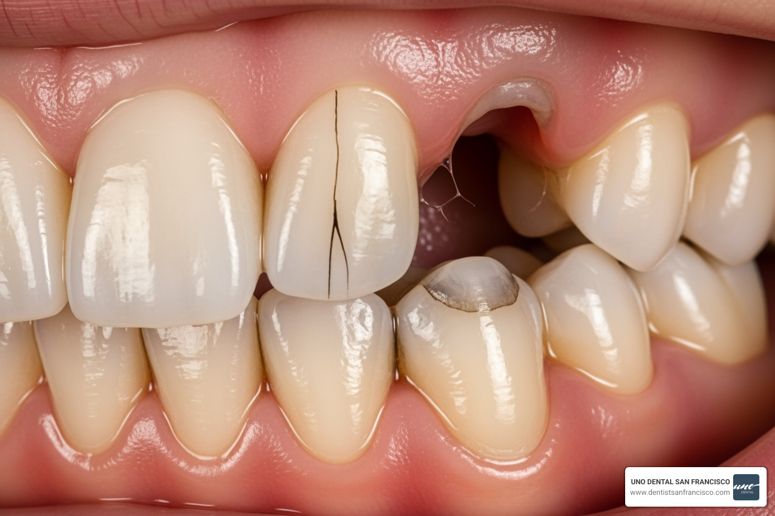
You might be a candidate if you're struggling with multiple missing teeth that make eating difficult or cause you to hide your smile. Perhaps you have widespread tooth decay that seems to spread no matter how well you brush and floss. These are health issues that affect your daily life.
Severely worn or broken teeth are another clear sign. This often results from years of teeth grinding or acid erosion. If your teeth look shorter or have sharp, jagged edges, this could be you.
Dental trauma from accidents can also necessitate reconstruction. When several teeth are damaged or knocked out, individual repairs may not be enough to restore proper function.
You might also be a candidate if your existing dental work is failing. Old crowns, bridges, or fillings that are breaking down can create a domino effect of problems throughout your mouth.
Chronic jaw pain or TMJ disorder can make every meal uncomfortable. When your bite is off, it puts stress on your jaw joints. Full Mouth Reconstruction can realign your bite and provide lasting relief.
Advanced periodontal disease is another serious condition that often requires comprehensive treatment, especially when it affects the bone supporting your teeth.
These conditions impact your confidence, social life, and overall health. If you're experiencing several of these issues, Full Mouth Reconstruction might be what you need to get your life back. At UNO DENTAL SAN FRANCISCO, we see patients daily who thought their dental problems were permanent. The good news is, they don't have to be.
For more detailed information about restorative options, check out our Restorative Dentist Complete Guide.
The Comprehensive Full Mouth Reconstruction Process
Getting your smile back through Full Mouth Reconstruction is like putting together a complex puzzle - every piece needs to fit perfectly for the beautiful picture to emerge. This isn't a quick fix or a one-size-fits-all solution. Instead, it's a carefully orchestrated journey that's completely customized to your unique needs, oral health challenges, and personal goals.
At UNO DENTAL SAN FRANCISCO, we take a holistic approach that looks at your entire oral system, not just individual teeth. Think of it as hitting the reset button on your oral health. Our team brings together specialists from different areas - prosthodontists who are experts at restoring and replacing teeth, oral surgeons for complex procedures like implants and bone grafting, and periodontists who focus on gum health and treatment.
What makes our approach special is that we provide all these services under one roof. No running around to different offices or trying to coordinate between multiple doctors. We handle everything, making your journey as smooth as possible.
Our holistic philosophy means we consider how your oral health connects to your overall well-being. Those untreated infections or gum disease issues? They don't just stay in your mouth - they can affect your entire body. We're here to create a healthy foundation that supports not just your smile, but your general health too.
Your Initial Consultation and Treatment Planning
Your Full Mouth Reconstruction journey begins with what we call a comprehensive detective session. We need to understand exactly what's happening in your mouth before we can create the perfect treatment plan for you.
During your first visit, we'll conduct a comprehensive exam that goes far beyond just looking at your teeth. We examine your gums, jaw joints, bite alignment, and even how your jaw muscles are functioning. It's like getting a complete health check-up for your mouth.
Our advanced diagnostic tools help us see what the naked eye can't. We use digital X-rays and 3D imaging technology that creates incredibly detailed pictures of your bone structure, nerve pathways, and any hidden problem areas. This high-tech approach means we can spot issues early and plan treatments with precision.
The bite analysis is particularly important because many people don't realize that an improper bite can cause years of pain, tooth wear, and instability. We carefully study how your teeth come together to identify any irregularities that might be contributing to your problems.
But here's what really matters to us - hearing about your goals and concerns. What's bothering you most? What do you hope to achieve? Your input shapes every decision we make about your treatment plan.
We also discuss your overall health because conditions like heart problems or autoimmune diseases require special considerations during dental treatment. Everything connects, and we want to keep you safe and comfortable throughout the process.
For those who prefer to start from home, we offer a free virtual smile consultation. It's a great way to get initial guidance and discuss your options without any pressure.
After gathering all this information, we create a detailed, step-by-step treatment plan. We explain every recommended procedure, why it's needed, and what you can expect. No surprises, no pressure - just honest guidance to help you make the best decision for your health and happiness.
Common Procedures in a Full Mouth Reconstruction Plan
Every Full Mouth Reconstruction is like a custom-built solution, combining different procedures to address your specific needs. The beauty is in how these treatments work together to create a healthy, functional, and beautiful result.
Dental implants often serve as the foundation of reconstruction when you're missing teeth. These titanium posts act like artificial tooth roots, providing rock-solid support for replacement teeth. They're incredible because they actually prevent bone loss and can support individual crowns, bridges, or even full dentures. Learn more about The Benefits of Dental Implants San Francisco.
Dental crowns are like protective caps that cover and strengthen damaged teeth. If you have teeth with substantial decay, cracks, or have had root canal therapy, crowns restore their shape, size, and strength while making them look natural again.
When you're missing one or more teeth, dental bridges bridge the gap. These consist of artificial teeth anchored to adjacent natural teeth or dental implants, restoring your ability to chew and speak properly.
Porcelain veneers are thin, custom-made shells bonded to the front of teeth to improve their shape, color, and alignment. They often provide the stunning finishing touch to a restored smile.
Dentures—both full and partial—are a solution for replacing multiple missing teeth. Modern dentures, especially when supported by implants, offer much better stability and comfort.
Orthodontics might be part of a reconstruction plan, as proper alignment is crucial. We sometimes move teeth into better positions before placing restorations to ensure a stable, comfortable bite that lasts.
If gum disease is present, we must address it first. Think of it as preparing the foundation before building a house. We offer various periodontal treatments, from deep cleaning to advanced gum therapy, to create the healthy foundation your new smile needs.
Root canal therapy can save infected or severely decayed teeth from extraction. It's often much better to preserve your natural tooth structure when possible.
When there isn't enough bone to support dental implants, bone grafting procedures can rebuild and strengthen your jawbone. Modern techniques make this much more comfortable than you might imagine.
We may also perform occlusal adjustments - minor reshaping of tooth surfaces to correct bite problems and relieve pressure on your jaw joints. It's amazing how small adjustments can make a huge difference in comfort.
This combination of treatments is carefully orchestrated to address every aspect of your oral health, ensuring your new smile is built to last for decades.
Timeline: How Long Does Treatment Take?
The timeline for Full Mouth Reconstruction varies significantly based on your specific needs and the complexity of your case. Some patients complete their treatment in several months, while more extensive cases - especially those involving dental implants and bone grafting - can take a year or longer.
We typically use a phased treatment approach, which means we break your treatment into manageable stages. This isn't just for your comfort and budget - it's also necessary for optimal healing and the best possible results.
Healing periods are built into the process, particularly after surgical procedures. For example, dental implants need time for osseointegration - the process where the implant actually fuses with your jawbone. This typically takes 3 to 6 months, and while it might seem long, this healing time is what makes implants so incredibly stable and long-lasting.
You'll have multiple appointments throughout your journey, but we make sure each visit is productive and comfortable. We keep you informed every step of the way, so you always know what to expect next and how your treatment is progressing.
We're not aiming for a quick fix - we're building you a smile that will serve you well for decades to come. Good things take time, and your new smile will be worth the wait.
The Life-Changing Benefits and Financial Considerations
When I meet with patients considering Full Mouth Reconstruction, I often hear them say, "I just want to be able to eat an apple again" or "I miss smiling in photos." These simple wishes speak to the profound impact that compromised oral health can have on daily life. The change that comes with Full Mouth Reconstruction goes far beyond what you might expect from dental treatment.
The most immediate benefit many patients notice is improved chewing and speech. When your teeth are properly restored and aligned, you can finally enjoy foods you've been avoiding for years. That crispy salad, that perfectly grilled steak, or even just biting into a sandwich without pain becomes possible again. Your speech clarity improves too, eliminating the whistling or slurring that can come with missing or damaged teeth.
Pain relief is another life-changing outcome. Many of our patients have lived with chronic discomfort from severe decay, worn teeth grinding against each other, or TMJ disorders that make even opening their mouth uncomfortable. Full Mouth Reconstruction addresses these root causes, often providing relief that patients haven't experienced in years.
Perhaps most importantly, there's the improved self-confidence that comes with having a healthy, beautiful smile. I've watched patients light up when they see their new smile for the first time. Suddenly, they're eager to attend social gatherings, speak up in meetings, and take photos with their grandchildren. This renewed confidence ripples through every aspect of their lives.
The improved oral and overall health benefits cannot be overstated. By eliminating infections, treating gum disease, and restoring proper function, we're not just fixing teeth – we're supporting your body's overall wellness. The long-lasting, durable results mean you can count on your investment for many years to come with proper care.
The Value of Investing in Your Oral Health
Think of Full Mouth Reconstruction as hitting the reset button on your oral health. The functional benefits are immediate and profound. You'll refind the simple pleasure of eating your favorite foods without wincing or carefully chewing on one side of your mouth. The aesthetic improvements we achieve focus on creating natural-looking results that improve your unique features rather than giving you a "fake" smile.
Beyond the immediate improvements, Full Mouth Reconstruction serves as a powerful preventive measure. It prevents future tooth loss by creating a stable, well-aligned bite that distributes chewing forces evenly across your teeth. When we place dental implants, we're also halting bone deterioration – something that continues to worsen when missing teeth aren't replaced.
The link to general wellness is something we take seriously at UNO DENTAL SAN FRANCISCO. Chronic dental infections and untreated gum disease don't stay confined to your mouth. They can contribute to heart disease, diabetes complications, and other systemic health issues. By addressing these problems comprehensively, we're supporting your overall health journey. You can learn more about how specific treatments contribute to this in our guide on The Benefits of Dental Implants in San Francisco.
Understanding the Cost and Insurance Coverage
I won't sugarcoat it – Full Mouth Reconstruction is a significant financial investment. However, when patients understand what's involved and the long-term benefits, most find it's worth every penny. The costs vary by procedures needed, which is why we can't give you a one-size-fits-all price over the phone.
Here's what you can typically expect: dental implant restorations run about $2,000 or more per tooth, dental bridges start around $5,000, and porcelain crowns are approximately $2,500 each. When you add up a comprehensive Full Mouth Reconstruction, the total investment often ranges from $30,000 to $45,000 or more, depending on your specific needs and the complexity of your case.
The distinction between medically necessary versus cosmetic procedures plays a crucial role in insurance coverage details. Because Full Mouth Reconstruction addresses serious health issues rather than purely aesthetic concerns, many insurance plans will cover a portion of the treatment. However, most dental insurance plans have annual maximums between $1,500 and $2,000, which won't cover the full cost of extensive reconstruction.
We understand that this investment can feel overwhelming, which is why we offer various financing options and payment plans. Our team works closely with you to maximize your insurance benefits and find a payment structure that fits your budget. We believe that financial constraints shouldn't prevent you from getting the care you need.
Frequently Asked Questions about Full Mouth Reconstruction
When patients first learn about Full Mouth Reconstruction, they naturally have questions. After helping hundreds of patients through this transformative journey at UNO DENTAL SAN FRANCISCO, we've heard it all! Let me address the concerns that come up most often in our consultations.
Is the full mouth reconstruction process painful?
I completely understand this worry – it's probably the number one concern patients share with me. The good news? Modern dentistry has come a long way, and we have excellent tools to keep you comfortable throughout your Full Mouth Reconstruction.
Local anesthesia is our first line of defense, effectively numbing the treatment area so you won't feel pain during procedures. For patients who feel anxious or are having longer treatments, we offer sedation dentistry options that help you relax completely. Some patients even tell us they had such a peaceful experience that they almost fell asleep!
We also use modern pain management techniques after your procedures. I'll provide clear instructions for your recovery, and if needed, prescribe appropriate medication to manage any discomfort. Our team will check in with you to make sure you're healing well and feeling good.
What often surprises patients is how gentle our techniques are. We use the latest technology designed to be minimally invasive, which means less discomfort and faster healing. Many patients tell us their Full Mouth Reconstruction was much more comfortable than they expected.
Your safety and comfort are always our top priorities. We'll discuss your specific concerns during your consultation and create a plan that keeps you at ease every step of the way.
How do I care for my mouth after a full mouth reconstruction?
Taking care of your beautiful new smile is actually simpler than you might think! After your Full Mouth Reconstruction, I'll give you detailed, personalized instructions, but let me share the key points that will keep your investment looking and feeling great for years to come.
Proper oral hygiene becomes even more important with your new restorations. Brush at least twice daily with a soft-bristled toothbrush and fluoride toothpaste – nothing fancy required. Daily flossing is crucial for cleaning between teeth and around your new restorations. I might recommend specific tools like water flossers or interdental brushes based on your particular case.
Regular dental checkups with our team are essential. We typically recommend visits every six months, though some patients need more frequent monitoring initially. These appointments let us keep an eye on your gums, natural teeth, and all your beautiful new restorations.
If teeth grinding contributed to your original dental problems, I'll likely recommend a protective night guard. This custom-fitted appliance protects your investment from excessive force while you sleep – think of it as insurance for your new smile.
Follow-up appointments in the first few months after completion help us ensure everything is healing perfectly and functioning as intended. We're here to support you through the entire process and beyond.
With good home care and regular professional maintenance, your Full Mouth Reconstruction can last for many years, giving you a healthy, confident smile you'll love showing off.
Can I get all the procedures done at once?
I know the idea of getting everything done in one visit sounds appealing – who wouldn't want to fast-track their way to a perfect smile? Unfortunately, Full Mouth Reconstruction isn't something we can rush, and here's why that's actually good news for you.
A phased approach is common and necessary for the best results. Most reconstruction plans unfold over several appointments spanning months or sometimes over a year. This might sound like a long time, but each phase builds on the previous one, creating a strong foundation for lasting results.
Healing time is crucial for your success. When we place dental implants, for example, your body needs time for osseointegration – the process where the implant fuses with your jawbone. This takes several months, but it's what makes implants so incredibly stable and long-lasting. Rushing this process would compromise everything we're trying to achieve.
The complexity of your case determines our scheduling. We carefully plan the sequence and timing of procedures. Sometimes we need to address foundational issues like gum disease or extractions first, then move on to the exciting restorative work like crowns or implants.
That said, multiple procedures in one visit with sedation is possible for certain patients and specific combinations of treatments. We can often group compatible procedures together in longer appointments, using sedation dentistry to keep you comfortable throughout.
During your consultation, I'll outline your personalized treatment schedule so you understand each step of the journey. While it requires patience, this thoughtful approach ensures your Full Mouth Reconstruction gives you the beautiful, healthy smile you deserve for years to come.
Begin Your Journey to a Restored Smile in San Francisco
Living with damaged, missing, or painful teeth doesn't have to be your reality anymore. If you're facing extensive dental challenges, Full Mouth Reconstruction offers a path to complete oral change that goes far beyond what you might imagine possible. This isn't just about fixing teeth—it's about reclaiming your life, your confidence, and your ability to enjoy the simple pleasures like sharing a meal with loved ones or laughing without hesitation.
Picture yourself six months from now: biting into a crisp apple without wincing, speaking clearly in important meetings, and smiling genuinely in family photos. That restored confidence and renewed oral function isn't just a dream—it's exactly what Full Mouth Reconstruction is designed to achieve.
At UNO DENTAL SAN FRANCISCO, we understand that every patient's journey is unique. That's why we create a personalized care plan custom specifically to your needs, goals, and lifestyle. Our approach isn't cookie-cutter; it's as individual as you are.
What sets us apart is our commitment to high-tech, holistic dentistry. We don't just look at your teeth in isolation—we consider how your oral health connects to your overall well-being. Our state-of-the-art technology allows us to see the complete picture, while our holistic philosophy ensures we're treating the whole person, not just the symptoms.
The convenience of having comprehensive services under one roof means you won't be bounced between different offices and specialists. From your initial consultation through your final follow-up appointment, our experienced team coordinates every aspect of your care. This streamlined approach saves you time, reduces stress, and ensures seamless communication throughout your treatment.
We know that taking the first step can feel overwhelming, especially when you've been living with dental problems for months or years. That's exactly why we're here—to guide you through this transformative process with expertise, compassion, and unwavering support.
Your journey to a completely restored smile starts with a single decision. Don't let another day pass living with pain, embarrassment, or limitations that Full Mouth Reconstruction can resolve. Schedule your comprehensive dental care in San Francisco today, and let us show you what's possible when advanced dentistry meets personalized care. Your future self will thank you for taking this important step toward optimal oral health and renewed confidence.



